欢迎来到正夫口腔品牌连锁 | 医保定点单位

24小时咨询电话:400-6999-661
投诉热线:13602582057
主页 > 口腔健康 >

牙齿矫正有年龄限制吗?什么时候做合适?

作者:正夫口腔 时间:2017-12-08 10:22:02 点击:3705

  TA的面型为什么变美了?

  当发现某个明星面型比以前更完美时

  许多人会质疑:

  该不会是整容了?

  但TA的回答却是:

  我只是矫正了牙齿

  这都要归功于牙齿矫治

  让变美,可以悄悄的

  那么,牙齿矫正有年龄限制吗?什么时候做合适?很多人都认为牙齿矫正应该在成年之后,其实年龄本身并不是牙齿矫正的一个很重要的因素,只要牙周健康,60岁都可以做牙齿矫正。而各类不同牙齿畸形的矫正存在不同的适合矫治年龄,下面让我们听正夫口腔医师来逐一说道。

  1、反牙合(地包天)

  所谓的反牙合即我们通俗讲的“地包天”,就是下牙咬到了上牙的前方,这种情况的小朋友3至5岁就应该进行牙齿治疗。因为如果放任不管,下巴会越长越大,越长越长,容易变成人们常说的“香蕉脸”或“月牙脸”。越早干预,将来做手术整形的概率也越低。

  2、开牙合

  如果您的孩子出现了上图的状况,那说明您的孩子已经开牙合了,牙齿不能正常切断食物,同时对发音也有一定的影响。

  开牙合的干预应该从8岁开始,如果您的孩子伴有口呼吸,半夜睡觉打呼噜,那么请您先带孩子去耳鼻喉科请医生会诊,看看孩子的腺样体或者扁桃体是否有肥大的情况。如果孩子有咬手指、咬铅笔的习惯,家长就要帮孩子坚决改掉。如果孩子有吐舌头的习惯那就需要找牙医,给孩子嘴里戴个小小的辅助器帮助孩子改掉这个坏毛病。

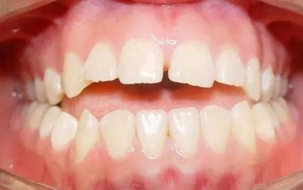
  3、深覆合深覆盖(龅牙)

  深覆合深覆盖就是通常说的龅牙,常常表现为自然状态下双唇不能闭拢,微笑时牙龈外露过多等。

  如果出现了龅牙,那家长就别犹豫了,孩子在8至10岁应进行牙齿治疗,提前干预,尽量不要让孩子的脸变成“大突脸”。否则等过了适合的矫正时间,骨突的话很大可能需要进行手术治疗。

  4、牙齿不齐

  牙齿不齐的适合矫治年龄:女孩是在11至14岁,男孩是在12至15岁。

  其实11至14岁这个年龄段矫正牙齿畸形基本上都能取得令人满意的结果。因为这时候孩子的恒牙都已经长出来了,而且这一阶段孩子的牙槽骨正处于旺盛的生长状态,改建能力强,牙齿矫正可以较大程度的改变孩子的颌面部生长状态。因此,这一阶段不仅有利于牙齿移动,而且一些较轻微的颌骨发育问题也可以被改善。

  15岁以后,孩子的生长发育高峰期基本过去了,这时候做矫正治疗,已经类似成人的矫正了。因为牙槽骨的生长潜力降低,但是需要牙齿矫正的朋友们不需要灰心,不要因为错过牙齿矫正的适合年龄而伤心,因为牙齿矫正是没有年龄限制的,只是不同年龄段矫正的恢复时间不同而已。

  正夫口腔是深圳一所正规的、在业内口碑良好的口腔专科连锁机构。目前在全市有近20家门诊,覆盖各区域,为人们提供便利的就诊条件。正夫口腔集资深的医师和先进的设备为一体,让大家放心看牙美牙,还他们一口漂亮整齐的好牙。

推荐医师

就诊流程

网络预约 电话预约
 

特色技术

推荐医师

我的牙齿问题

更多问题

直接咨询