什么是烤瓷牙?

烤瓷牙又称烤瓷冠,烤瓷牙主要包括全瓷牙和金属烤瓷牙两种材料烤瓷牙主要是在缺损或缺失部位,用全瓷或铸造贵金属作为支撑的内核,再在其外部用材料用瓷来达到与真牙颜色和功能相仿的修复方法。

其特点是恢复牙体的

形态功能 咀嚼功能

哪些人适合做烤瓷牙?

牙齿颜色不佳,
如四环素牙者

牙齿不齐,
追求快速矫正者

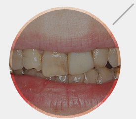
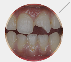
牙齿折断,
或有残留牙根者

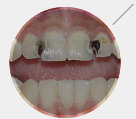
龋齿程度严重,
不适合补牙者

烤瓷牙的种类有哪些?

  • 钴铬合金
    烤瓷牙
  • 贵金属
    全瓷冠
  • 3M LAVA
    全瓷牙
  • 瑞典procera
    全瓷牙

钴铬合金烤瓷牙

性价比高,生物相容性好,不会出现过敏现象。

点击咨询 咨询价格

正夫口腔美学修复医师推荐

杨少虹 种植医生/口腔修复总监

中华口腔医学会会员

瑞士Straumann种植系统认证医师

英国专利牙齿美白认证医师

DSD微笑美学修复认证医师

    擅长项目:
  • 数字化口腔种植
  • 即刻种植即刻修复
  • 无牙颌种植修复
  • All-on-4
  • DSD微笑美学修复
  • 全瓷贴面美学修复
点击咨询